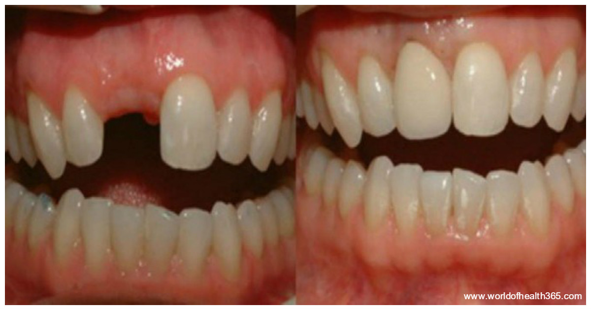
Implantet dentare e bëjnë jetën tonë shumë më të lehtë. Është një zgjidhje e shkëlqyer për të mbushur boshllëqet e dhëmbëve.Një ekip ekspertësh në shkencat dentare ka bërë disa zbulime që kanë treguar një avantazh të pabesueshëm në teknologjinë e implantit të dhëmbëve.
Në të vërtetë, shkon një hap përtej implanteve dhe protezave klasike. Zbulime të tilla do t’u ofrojnë njerëzve mundësinë për të zhvilluar dhëmbë të rinj dhe të vërtetë në nofullën e tyre .
Kreu i studiuesve, Dr. Jeremy Mao i Universitetit të Kolumbias ka krijuar një mekanizëm që ndihmon në rritjen e dhëmbit me ndihmën e ADN-së .
Teknologjia moderne ju jep mundësinë për të zhvilluar dhëmbët tuaj në vetëm 9 javë. Pajisja duhet të vendoset dhe të pranohet nga trupi, duke siguruar atë me një material për të zëvendësuar dhëmbët e zbrazët.Sipas Dr Mao, dhëmbi i humbur zëvendësohet me përdorimin e qelizave staminale nga trupi juaj.
Ka pasur shumë përmirësime gjatë dekadave të fundit, të cilat premtojnë një zëvendësim të natyrshëm dhe të shëndetshëm për dhëmbët që mungojnë.
Falë evolucionit të teknologjisë, të gjithë ne tani do të mund të marrim një buzëqeshje të ndezur dhe të shëndetshme. Dhe nuk ka gjë më të mirë se kaq.
Shënim: Procedura nuk është ende e disponueshme pasi është ende në kërkime dhe në pritje të miratimit nga autoritetet mjekësore.


