Ka shumë studime që tregojnë rrezikun e valëve të radios të emetuara nga telefonat tanë celularë. Këto studime tregojnë gjithashtu se efektet destructive të këtyre frekuencave janë të zgjeruara në qoftë se ne kemi një mbushjet metalike që përmbajnë Mërkur. Sipas një studimi të kohëve të fundit, këto frekuenca shkaktojnë lirimin e Merkurit në trup (organizem).
Studimet e fundit kanë treguar se ekspozimi ndaj rrezatimit elektromagnetik, sidomos nga telefonat celulare rrit nivelet e Mërkurit në gjak.
Jo vetëm telefonat celularë lëshojnë këto rrezatim elektromagnetik, por edhe pajisje të tjera të tilla si televiziori , Wi-Fi routeri, kompjuterat, furrat me mikrovalë, etj
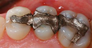
Përfundimi është,mbushjet metalike janë burimet më të mëdha të Mërkurit në trup. Sipas disa studimeve, mbushjet metalike lëshojnë vazhdimisht Mërkur, dhe 80% e avullit arrijin në mushkëri dhe më pas në gjak. Kur avujt
nuk hyjnë në gjak, rezulton në qelizat.
Kur flasim për celularët, rrezatimi elektromagnetik dhe Mërkuri gjeneruar nga një fushë elektrike në gojën tuaj. Ky është një kombinim deadly që punon me galvanizimin. Mbushjet metalike krijojnë një fushë elektrike e cila rrit nivelet e avullt të Mërkurit . Kjo rrjedhë është i matur në mikro amper, dhe shkalla e rreth 5 mikro amper.
Në studimet klinike, ajo u gjet se galvanizimi oral, fluksi është më shumë se 5 mikro amper, dhe mund të shkaktojë disa probleme shëndetësore në trup, të tilla si dhimbje koke, marramendje, migrenë, dhe përzierje. Pasi mbushjet metalike zëvendësohet, problemet largohen menjëherë.
Reaksione alergjike helmuese në trupin tonë që lidhen me ekspozimin ndaj rrezatimit elektromagnetik.
Studimi ka treguar se potenciali elektrik i 50 milli voltit rezulton në galvanizim dhe reagimet e ndryshme të tjera toksike apo alergjike. Studime të tjera kanë treguar se disa njerëz janë më të ndjeshëm ndaj rrezatimit elektromagnetik të lëshuar nga mikrovalët.
Sa me pak të përdorim këto paisje më mire do te jete për shendetin tonë.















